Federalna Służba Nadzoru w Dziedzinie Ochrony Konsumentów i Dobrobytu Człowieka Federacji Rosyjskiej (CPS-"Rospotrebnadzorom”) wprowadziła z dniem 5.11.2014 roku ograniczenia w imporcie kiełbasy, pieczeni i gulaszu z wołowiny z Belgii, Niemiec, Danii, Hiszpanii, Włoch, Holandii, Polski, Portugalii, Słowacji, Francji i Szwecji – głosi oświadczenie agencji.
Wołowinę zanieczyszczoną wąglikiem odkryły służby niemieckie. Według Federalnego Urzędu Ochrony Konsumentów i Bezpieczeństwa Żywności Niemiec (Bundesamt für Verbraucherschutz und Lebensmittelsicherheit (BVL), znaleziono je w kilku supermarketach, sklepach mięsnych i hurtowniach na terytorium całych Niemiec. Były to takie produkty, jak pieczeń wołowa, gulasz i kiełbaski. Odkryte produkty zostały wycofane. Według agencji, okazało się, że zakażone mięso zostało po raz pierwszy zaobserwowane po uboju pod koniec września 2014 na farmie w Słowacji. Według RASFF (Europejski system informacji o wykrytych zagrożeniach w żywności i paszy dla zwierząt), to zanieczyszczone mięso i jego produkty zostały dostarczone do Belgii, Danii, Francji, Włoch, Holandii, Portugalii, Hiszpanii, Szwecji i Niemiec. Łącznie na rynek trafiło trzy tysiące sześćset dziewięć kg takiej wołowiny. Potwierdzonych przypadków zakażenia człowieka wąglikiem z tych produktów na razie nie stwierdzono.
Jak podaje na swoim portalu dr nauk wet. Piotr Kołodziej (były Główny Lekarz Weterynarii), informację o wągliku strona słowacka przekazała oficjalnie 01.10.2014r (wg OIE). Stwierdzono 3 przypadki w stadzie liczącym 59 sztuk bydła w Svidniku, powiat Presov, niedaleko granicy z polską ( woj. podkarpackie). Już w dniach 10 i 14 października 2014r służby holenderskie notyfikowały systemem RASFF informację o możliwości zakażenia laseczkami wąglika mięsa wołowego pochodzącego z Polski i Słowacji. Pierwsze powiadomienie z 10.10. br. wymieniało jako kraj pochodzenia mięsa Polskę i Słowację, a odbiorcami towaru były: Belgia, Dania, Federacja Rosyjska, Francja, Niemcy, Holandia, Portugalia, Szwecja. Drugie powiadomienie z 14.10. br. jako kraj pochodzenia uwzględniało jedynie Słowację, a odbiorcami towaru były Niemcy, Włochy i Holandia.
W dniu 21 października Główny Lekarz Weterynarii opublikował na stronie GIW dokładną informację, wyjaśniając precyzyjnie całą zaistniałą sytuację. Zdementował pogłoski, że w Polsce ubito bydło zarażone laseczkami wąglika. ”W dniu 17 września 2014r. do jednej z polskich rzeźni przywieziono 2 sztuki bydła zaopatrzone w świadectwo zdrowia podpisane przez urzędowego lekarza weterynarii Republiki Słowackiej poświadczającego, że zwierzęta w dniu transportu do Polski były klinicznie zdrowe. W dniu 19 września 2014r. po przeprowadzeniu badania przedubojowego w rzeźni przez urzędowego lekarza dokonano uboju zwierząt i po badaniu poubojowym uznano mięso za zdatne do spożycia. Zgodnie z informacjami epidemiologicznymi przesłanymi przez słowackie służby weterynaryjne podejrzenie wystąpienia choroby w stadzie ustanowiono 27 września 2014r. O wystąpieniu ogniska wąglika w gospodarstwie, z którego pochodziło bydło poinformowano w dniu 1 października 2014r. Z gospodarstwa na Słowacji, w którym stwierdzono ognisko wąglika nie było żadnych przesyłek bydła do Polski po 17 września br. Nie ma zatem żadnej przesłanki, że mięso pozyskane z tych sztuk pochodziło od zwierząt zakażonych wąglikiem” – głosi komunikat.
Jednak informacja przekazana systemem RASFF uruchomiła działania urzędów odpowiedzialnych za bezpieczeństwo konsumentów w krajach, do których towar dotarł. W przypadku Niemiec informacja o działaniach i ich wynikach była przedstawiona jako pierwszy punkt konferencji w Wuerzburgu w dniu 23.10. 2014r.
Natomiast faktem jest, że w lipcu br., u padłego konia w gospodarstwie w powiecie tomaszowskim w woj. lubelskim, wykryto wąglika. Dodatni wynik badania potwierdził Instytut Weterynaryjny w Puławach – poinformował wówczas główny lekarz weterynarii. Powiatowy lekarz weterynarii w Tomaszowie Lubelskim wyznaczył ognisko choroby oraz obszar zapowietrzony obejmujący dwie wsie: Pawłówka i Kociuby. Podjęte zostały działania profilaktyczne polegające na izolacji ogniska choroby oraz na obserwacji. Gospodarstwo, w którym stwierdzono wąglika, jest oddalone od innych, znajduje się w nim jedynie sześć koni. Laboratorium nie stwierdziło obecności pałeczki wąglika, a jedynie przeciwciała.
W lipcu br. wykryto przypadek wąglika także w wołowinie produkowanej na Węgrzech. Patogen stwierdzono w próbkach mięsa wołowego produkowanego w prywatnym gospodarstwie domowym na wschodzie kraju. Jak się okazało, zwierzęta zostały nielegalnie ubite w gospodarstwie w miejscowości Tiszafured, położonej 160 km od Budapesztu. Był to drugi odkryty wąglik na Węgrzech w 2014 roku. Pięć osób trafiło do szpitala na wschodzie Węgier z podejrzeniem zarażenia wąglikiem - podało BBC.
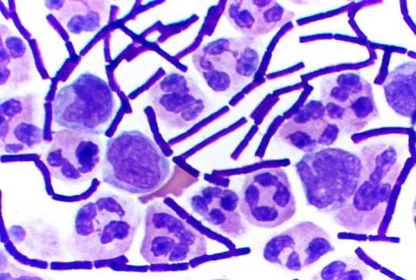
Wąglik (łac. anthrax) – choroba zakaźna, zaraźliwa, wywoływana przez Gram-dodatnią bakterię nazywaną laseczką wąglika (Bacillus anthracis). Znany już od czasów starożytnych, występuje na całym świecie. Wąglik występuje najczęściej u bydła, koni, owiec i kóz. Świnie rzadko chorują. Psy cechuje znaczna odporność. Ptaki są niewrażliwe na zakażenia naturalne.
Głównym źródłem zakażenia u zwierząt jest spożywana pasza zawierająca przetrwalniki bakterii. Do zarażenia może dojść podczas wypasów, jak i podczas skarmiania trawą lub sianem. Bakterie, pod postacią przetrwalników, mogą również wniknąć razem z wodą podczas pojenia zwierząt. Zwierzęta mięsożerne zakażają się po zjedzeniu zwierząt padłych na wąglik. Zakażenie bezpośrednie z jednego zwierzęcia na drugie jest możliwe tylko wtedy, gdy krew lub wydaliny zwierzęcia chorego dostaną się na świeże rany lub błonę śluzową.
Jan Wyganowski










